صفحه اصلی
خدمات تخصصی
آموزش به بیمار
فیلم های آموزشی
جراحی
ناراحتی های لثه و جرم گیری
ایمپلنت
پروتز(جایگزینی دندان)
ترمیمی
لامینیت
درمان ریشه
اطفال
بلیچینگ (سفید کردن دندان)
چگونگی مسواک زدن
روش استفاده از نخ دندان
متفرقه
تصاویر
درباره پزشک
مدارک
تماس با ما
Search for:
صفحه اصلی
خدمات تخصصی
آموزش به بیمار
فیلم های آموزشی
جراحی
ناراحتی های لثه و جرم گیری
ایمپلنت
پروتز(جایگزینی دندان)
ترمیمی
لامینیت
درمان ریشه
اطفال
بلیچینگ (سفید کردن دندان)
چگونگی مسواک زدن
روش استفاده از نخ دندان
متفرقه
تصاویر
درباره پزشک
مدارک
تماس با ما
Search for:
تصاویر
خانه
تصاویر
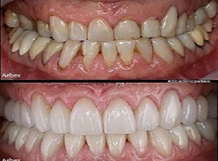
بعد از بلیچینگ
قبل از بلیچینگ
بلیچینگ (سفیدکردن دندانها)
تیرگی دندان ها بروشهای مختلف قابل درمان است